Răng em bị thưa khá nhiều và được khuyên nên bọc răng sứ để điều chỉnh.Tuy nhiên em lại không thích bọc răng sứ bởi mài răng sẽ ảnh hưởng cấu trúc răng gốc nên em muốn áp dụng phương pháp niềng răng. Vậy bác sỹ cho em hỏi thời gian niềng
răng lệch lạc mất bao lâu thì xong ạ? Mong sớm nhận được thư tư vấn từ bác sỹ!
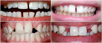
Vì sao nên niềng răng chỉnh thưa?
Thực tế, không phải ai trong chúng ta sinh ra cũng đã có một cấu trúc hàm cân đối. Và càng không nhiều người có sẵn một hàm răng đều đẹp nếu không được can thiệp, chăm sóc. Răng thưa là vấn đề không chỉ em mà rất nhiều người gặp phải. Quá trình ăn nhai, thói quen dùng tăm tre xỉa răng sau ăn càng khiến cho tình trạng này thêm xấu.

Với những tiến bộ của nha khoa hiện đại, việc khắc phục thưa răng không còn quá khó khăn. Những phương pháp tạm thời thường không mang lại hiệu quả lâu dài và niềng răng được xem là kĩ thuật chỉnh nha hữu hiệu, mang lại hiệu quả bền vững. Kĩ thuật niềng răng thưa là phương thức hiệu chỉnh, kéo các răng lại gần nhau, duy trì khoảng cách răng chuẩn với độ khít phù hợp, tăng cường tính thẩm mỹ của nụ cười và khuôn mặt.
Chỉnh thưa bằng niềng răng bao nhiêu?
Các bác sĩ chỉnh nha sẽ sử dụng khí cụ (mắc cài, khay niềng) để điều chuyển các răng khít lại, về vị trí chuẩn ban đầu trên cung hàm. Các khí cụ hỗ trợ này tạo ra lực, qua từng giai đoạn sẽ dần kéo các răng về vị trí mới với khoảng cách phù hợp. Chi phí niềng răng thưa sẽ phụ thuộc vào phương pháp niềng mà bạn lựa chọn. Niềng răng tháo lắp với khay trong suốt có mức phí cao hơn niềng răng mắc cài cố định thông thường.
Ngoài ra, sẽ có sự chênh lệch mức phí tùy thuộc vào tình trạng hàm của từng bệnh nhân chỉnh nha. Độ khó càng cao, thời gian điều trị càng lâu thì chi phí đầu tư cũng sẽ cao hơn các trường hợp khi ở mức độ nhẹ.

Chi phí áp dụng niềng răng hiện nay khoảng từ 20 - 140 triệu đồng. Dựa trên việc thăm khám cẩn thận, các bác sĩ sẽ đưa ra tư vấn về phương án niềng cùng hướng điều trị phù hợp cho từng trường hợp. Mọi thăm khám và tư vấn là hoàn toàn miễn phí. Để nắm rõ về tình trạng răng và phác đồ điều trị cũng như mức phí cần thiết, bạn có thể đến địa chỉ nha khoa để nhận tư vấn nhé.